抗体药物的成功应用大大延长了很多乳腺癌女性患者的生命。

赫赛汀与HER2受体结合在一起,HER2受体在一些乳腺癌细胞过量表达
将一种药物描述成为革命性的、改变性的或一个本垒打,这些词汇通常是用作新闻稿或报告给投资者的。但是肿瘤学家却更愿意用这样的语言来描述两种药物:这是两种可以为一些乳腺癌患者提供治疗而不仅仅是安慰的药物。
这两种药物分别是曲妥珠单抗(赫赛汀)和帕妥珠单抗(Perjeta)。这两个免疫抗体制剂都靶向作用于信号蛋白HER2上,HER2是在20%~25%的乳腺癌肿瘤都过量产生的一个蛋白。它的高表达导致难以控制的细胞增值和扩散。几十年来,这个HER2蛋白被认为是预后很差的标志,意大利米兰圣拉菲尔医院科学研究所肿瘤学家卢卡·詹尼(Luca Gianni)说。
目前,许多HER2阳性的肿瘤患者往往是在手术前接受靶向治疗后就达到了根治癌症的效果。即使病人被诊断为晚期,甚至那些之前一度被视为死亡已经迫近的发生转移的患者,也因此获得了更长的存活期。在一些特殊情况下,靶向药物的优势是很显著的。“在我的临床病例中有一个病人已经完全缓解13年了,”纽约市纪念斯隆-凯特琳癌症中心医学肿瘤学家肖·莫迪(Shanu Modi)说,“而她所要做的仅仅是每三个月去我的诊所复诊一次。”
这两个药物是肿瘤靶向治疗现代模型的范例,针对患者个性化治疗是基于肿瘤特定的基因突变特异性杀伤肿瘤细胞,和传统的化疗(对正常细胞和肿瘤细胞都有广泛的细胞毒性)不同。然而,很多接受靶向治疗的病人最终癌症仍然会复发。“我仍然不认为我们治愈了绝大多数病人。”莫迪说。在临床上新的靶向药物能够有效,帮助医生和病人获得更多和更持久的胜利,尽管有人担心飙升的成本(见“高昂的成本”)将限制这些新一代疗法的使用范围。
一个动态组合
曲妥珠单抗是第一个进入市场的HER2靶向药物,此前三期临床试验显示,该药提高了约20%患有HER2阳性转移性乳腺癌女性患者的生存几率。并在早期肿瘤的手术切除后给药能将癌症复发的风险减半。“这是一个绝对的全垒打,”休斯顿安德森癌症中心外科肿瘤学家伊丽莎白·米坦道夫(Elizabeth Mittendorf)说,“我们在肿瘤学中不经常看到这样的数字。”
2012年,一项叫做CLEOPATRA的临床试验数据表明,肿瘤学家可以通过将两种药物曲妥珠单抗与帕妥珠单抗联合使用来期待一个更好的反应。它们两个都是特异性结合HER2的抗体,但它们在蛋白质上分别识别不同的位点,它们的联合效应(连同常规化疗)使得更大的肿瘤缩小和进一步改善转移性乳腺癌患者的预后。这两者的联合使用相对于单用平均延长生存一年多的时间。”我们会尽量让所有转移性乳腺癌的患者使用上述联合用药作为一线治疗,”莫迪说,“他们平均接受三到四年的治疗。”随后的临床试验显示,在手术前使用曲妥珠单抗与帕妥珠单抗联合来缩小肿瘤――一种方法被称为新辅助治疗,临床医生发现,他们可以在大约一半的病人中从乳房和淋巴结根除肿瘤(临床称为病理完全缓解)。
但这并不意味着临床治愈,这些试验还不足以证实这些药物带来的好处的稳定性。不过,医生在其他领域已经看到明显的益处。米坦道夫说,因为新辅助治疗可以消除以前需要手术才能切除干净的淋巴结,她现在就可以做一些创伤性更较小的手术,使得乳房基本上完好无损。大家都希望了解刚刚结束的APHINITY试验的结果,这个试验会得出手术后接受联合治疗的患者的生存率和复发率的数据。
其他HER2靶向疗法已经应用于临床,但没有给患者带来像在乳腺癌领域这样明确的获益。例如拉帕替尼,通过干扰HER2的信号来延迟肿瘤的发展,但也表现出更多的毒性以及用于一线的治疗比起其他抗体药物效果普遍要差一些。因此,拉帕替尼通常用于晚期的曲妥珠单抗或帕妥珠单抗耐药的肿瘤患者。重要的是,这种疗法对于减少肿瘤脑的转移是有效的――脑转移对于HER2阳性的病人是一个特定的威胁。
另一个HER2靶向药物T-DM1(Kadcyla曲妥珠单抗)通过把化学治疗剂DM1和曲妥珠单抗绑定可以减轻传统化疗药物带来的相关严重毒性。“没有脱发和很少的神经病变,”莫迪说,我认为用T-DM1治疗的病人享受到了更好的生活质量。”作为第一个应用到临床的抗体与化学药物的结合体,在复发的HER2阳性乳腺癌患者中,相对于拉帕替尼,T-DM1延长平均存活时间超过5个月。
近期刚结束一个叫做MARIANNE的试验,研究T-DM1能否取代曲妥珠单抗和化疗成为一线的治疗。虽然它的毒性低于标准的药物组合,但T-DM1被证明对于延缓疾病进展并不是更有效的,所以它可能仍然是一个二线选择。詹尼希望这些结果不要影响临床医生使用这种安全有效的药物。“T-DM1的出现几乎解决了我们所有的问题,现在却被妖魔化为一个昂贵的失败――但事实并非如此。”他说。
切断肿瘤的退路
能靶向结合HER2的能力一直是许多患者的救生圈,但它远非一个完整的胜利。许多患者接受新辅助治疗也不能根除肿瘤。尽管可以在多年的时间里阻止转移癌患者病情发展,但这需要换用大量的药物多次治疗。”经常会看到发生转移的患者经过五、六、七线的治疗,”马萨诸塞州波士顿丹娜-法伯癌症研究所的一位肿瘤学家南希·林(Nancy Lin)表示,“但这种疾病通常是不可以治愈的。”
HER2阳性肿瘤对曾经有效药物产生获得性耐药的机制仍是知之甚少。詹尼提到了肿瘤环境,它包含一群有着不同突变的混合细胞,这是问题的一部分。“如果在肿瘤中有30%的细胞的HER2过表达,这就是一个HER2阳性肿瘤,”他说,“但是许多细胞仍然不表达这一蛋白。”因此,杀死对曲妥珠单抗敏感的细胞后仍将残留大量癌细胞集合。这突显出广义化疗的价值,纽约大学朗格尼医学中心的弗朗西斯科·埃斯塔瓦(Francisco Esteva)表示,这种现象也可以解释在玛丽安试验中T-DM1效果不能尽如人意的原因。“如果你的目标太多,其他克隆可以逃跑。”他说。
然而,法国里昂莱昂博瑞德中心的肿瘤学家托马斯·巴舍洛特(Thomas Bachelot)不相信这是初治肿瘤成功后再复发的唯一机制。“通过对复发肿瘤多次活检,肿瘤仍是HER2阳性的――它们并没有失去这一特性,”他补充说,即使肿瘤复发,患者服用曲妥珠单抗或帕妥珠单抗来治疗,他们仍然受益于这些药物。相比较那些持续使用药物的患者,肿瘤复发后停止HER2靶向治疗的患者的预后更差。这一结果暗示了有其他细胞途径和过程放大或减小HER2靶向治疗的效果。这些通路的影响可能因此成为有用的生物标志物指导治疗。一个新辅助化疗试验发现,近17%的患者在没有任何化疗的情况下使用靶向药物治疗得到了病理上的完全缓解。“大约10%的HER2阳性患者对应用曲妥珠单抗和帕妥珠单抗的治疗没有反应,”巴舍洛特说,“目前还无法解释这种固有抗药的现象。”

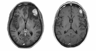
HER2阳性乳腺癌可以扩散到大脑(左图十字所示);一些患者已经被证明,接受靶向治疗对减少转移是有效的(右)
另一个已知的耐药性途径是由磷脂酰肌醇-3-激酶(PI3K)信号级联通路的过活化引起的。初步临床研究表明,依维莫司(everolimus),一种可以干扰PI3K信号的药物,可能会增加曲妥珠单抗对转移性乳腺癌的有效性。虽然两次三期临床试验的结果是令人失望的,后续对数据检查显示依维莫司可以通过影响PI3K的活性延缓突变患者的临床进展。然而,莫迪认为,未来的研究应该通过另一种方法来打击这一通路。“用了依维莫司,你可以获得几周的改善,但是有很大毒性,”她说,“要有更好的药物来针对PI3K通路。”
莫迪的团队正在评估BYL719这样的药物,以另外的方法来增强HER2靶向治疗的效果。肿瘤细胞依靠热休克蛋白90(HSP90)调控HER2的产生。莫迪和他的同事们发现化学抑制热休克蛋白90可以使HER2依赖的肿瘤生长陷入停滞。”在第一个试验的二期,把热休克蛋白90抑制剂和赫赛汀结合起来,在没有其他任何化疗的情况下,通过使用这两种药得到了近25%的反应率。”她说,她的团队正在研究两个不同的热休克蛋白90抑制剂,包括一种可以被同位素标记的化合物,这样肿瘤摄取药物的程度就可以被直接监测到。
大多数乳腺肿瘤也对于雌激素和孕激素的受体过度表达,众多的研究表明,这些激素受体会影响HER2靶向药物的反应。新辅助二联疗法试验的数据表明,病理完全缓解率约为50%,而在激素受体阴性的肿瘤患者中甚至超过了80%。越来越多的数据表明,这两种信号通路协同促进肿瘤的生长,表明多重打击疗法对于限制肿瘤的逃逸是必要的。
有理由相信,更高效的靶向性药物联合应用的治疗方案将会确保每一个肿瘤患者获益,“我们现在有足够多的、不同作用机制的药物,”詹尼说,“而挑战在于如何以最优的方式使用它们。”显然,这些靶向治疗大大延长了肿瘤患者的无瘤生存时间,米坦道夫说。
资料来源 Nature
责任编辑 彦 隐
靶向治疗:高昂的成本
虽然这些靶向药物能够给临床医生和乳腺癌患者带来极大的兴奋并能延长寿命,但相关的费用并不便宜。在英国,例如,用T-DM1治疗一个疗程,要花费90000英镑(合138000美元),该国的国家健康与保健临床研究所拒绝在国家医保(NHS)中常规覆盖这种药物,因为费用太高。现在,可以通过一个特殊的基金提供一般国家医保药物没有覆盖的这种药物,尽管这个基金将于明年春季结束。
随着成本飙升,即使是最好的药物在临床实际应用中,也反复权衡其应用成本。就帕妥珠单抗来说,在去年6月,它被欧盟药品监督局批准为在手术前或做为新辅助药品使用,但要到欧盟各成员国家卫生系统就它的价格问题达成一致后才能被使用。“直到最近,有明确疗效的才能被批准和报销。”法国里昂莱昂博瑞德中心的肿瘤学家托马斯·巴舍洛特说,“成本会在短期内迅速增加,而且将会有一些艰难的决定要去面对。”
在美国,私人保险一般会覆盖这些昂贵的治疗,但并不总是包括全部的花费,许多患者还要额外支付很大一笔费用。去年8月,超过100名临床医师在《梅奥诊所学报》上联名签署了一封信,支持病人申请更积极的价格改革,2014年美国FDA批准的肿瘤药物成本上升120 000美元,病人通常要负担其中花费的四分之一。“我们总在掂量治疗的成本问题,而这不应该发生。”意大利米兰圣拉斐尔医院科学研究所肿瘤学家卢卡·詹尼如是说。