小胶质细胞可以控制髓鞘生长以预防其发生退行性改变,这一机制帮助科学家更好理解和治疗神经退行性疾病。
科学家历经数十年的研究仍然无法破解神经退行性疾病中为何神经元健康会出现损害。科学家长期认为阿尔茨海默病的病因是淀粉样蛋白和tau蛋白的有害堆积,而这些蛋白在正常生理情况下有助于神经元生长、修复和维持稳定。基于这种看法,科学家开发了靶向这些蛋白质的疗法,但临床试验证明这些治疗并不能很好地恢复患者的认知功能。这让科学家开始转向蛋白质毒性之外的其他破坏神经元健康的可能因素。
2004年,加州大学洛杉矶分校神经科学家乔治? · ?巴兹佐奇斯(George Bartzokis)首先提出,包绕轴突的保护性外膜髓鞘可能是阿尔茨海默病发生和治疗的关键。髓鞘对神经元功能而言至关重要。它使得神经元绝缘并为轴突提供营养,神经元得以生存并正常运作。髓鞘也对有效学习和记忆编码功能有重要意义。
2000年代初,研究者为了更好地理解衰老,研究了30岁以上的恒河猴(这类生物的平均寿命约35岁)脑。研究者发现老年的非人灵长类动物脑中的髓鞘呈现出结构改变和损害。值得注意的是,这种变化和猴子认知下降的程度存在相关性。当科学家对人类进行MRI研究时,发现髓鞘在阿尔茨海默病发病的20年前就出现损害。这些证据都提示髓鞘损害可能与认知功能下降存在本质性联系,是阿尔茨海默病发生发展的早期事件。
尽管有这些证据,近20年来却没有后续研究证实这一假说,部分是因为研究人员认为髓鞘变化是神经元损害的结果而非原因。但近期美国第三军医大学和加州大学旧金山分校的研究人员在阿尔茨海默病小鼠模型中观察到髓鞘变性,并伴有高概率的髓鞘修复。尽管这种修复无法代偿损害的进展,但研究人员发现,无论淀粉样蛋白累积多少,增强髓鞘生成都能够改善认知和神经元功能。事实上,马克斯? · ?普朗克多学科科学研究所的科学家近期发现,髓鞘损害本身能够驱动阿尔茨海默病小鼠模型中淀粉样蛋白积累。这些结果为巴兹佐奇斯的假设提供了证据。
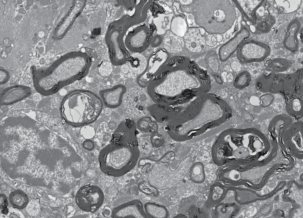
电子显微镜显示,ALSP患者脑白质中轴突周围的髓鞘过度生长。髓鞘失稳与最终退行性改变是神经退行性疾病的特征
小胶质细胞和髓鞘的联系
这些研究在解答一些问题的同时又提出了新的疑问。例如,研究人员是否可以通过研究髓鞘退行性改变的机制,预防痴呆的发生。研究该机制的第一步是理解健康脑中髓鞘如何维持其结构和功能。研究者因此转向了脑中的小胶质细胞。
小胶质细胞属于胶质细胞,具有支持神经元并维持中枢神经系统微环境健康和完好的功能。它如同是脑的前线士兵,具有免疫细胞的功能,保护脑免受病原体、损伤或其他有害刺激。过去10年间,研究人员发现小胶质细胞也参与维持健康脑的功能。事实上,小胶质细胞在整个生命过程中长期参与维持髓鞘的健康。
研究者近期发现缺乏小胶质细胞的幼年小鼠相对于小胶质细胞完好者,其脑发育过程中髓鞘更少。这提示小胶质细胞在脑的发育过程中,通过驱动少突胶质细胞(产生髓鞘的细胞)的生长促进髓鞘形成。然而,这些研究中还存在一个关键问题,当时实验中用于消除小胶质细胞的工具也会靶向另一小群中枢神经系统中的免疫细胞——边界相关巨噬细胞(BAMs),这类细胞出现在脑膜、血管周围以及接触脑脊液的区域。科学家并不知道这类细胞对髓鞘形成是否有影响。
2019年,爱丁堡大学的研究者开发了一种颠覆现状的小鼠模型。研究者通过CRISPR-Cas9技术删除了FIRE序列,这是编码CSF1R基因的超级增强子,CSF1R是一种小胶质细胞发育和存活必备的受体。FIRE在边界相关巨噬细胞中有冗余的功能,这意味着FIRE敲除小鼠(或被称作FIRE小鼠)缺少小胶质细胞却保留了边界相关巨噬细胞。研究者可以利用这一新模型解析小胶质细胞在髓鞘形成中的特定功能。
小胶质细胞控制髓鞘生长
在爱丁堡大学的实验室中,研究者急切地研究了FIRE小鼠髓鞘的情况。研究者假设FIRE小鼠因为缺乏小胶质细胞而导致早期发育阶段中髓鞘形成功能障碍,这符合之前巨噬细胞完全缺失模型的研究结果。但研究者却发现了惊人的结果。
实验证明FIRE小鼠髓鞘形成功能并没有缺陷。研究者很疑惑,并花费数月分析了各种髓鞘相关蛋白质的情况,同时研究了少数胶质细胞的数量,但它们似乎全都没有受到影响。最后,研究者利用电子显微镜在超微结构水平进行观察,并取得了突破性进展。研究者观察到FIRE小鼠确实存在髓鞘,但其数量却丰富得出人意料。年轻的FIRE小鼠脑中缺乏小胶质细胞,却在发育过程中形成了过量的髓鞘,并维持到了成年。
FIRE小鼠髓鞘失调现象提示小胶质细胞在髓鞘稳定性中的必要性
这些发现说明小胶质细胞积极参与调控髓鞘的生长。为了进一步证实这一理论,研究者使用了另一种方法,利用前人研究的金标准方法(通过药物抑制CSF1R)大量减少了成年小鼠的小胶质细胞和巨噬细胞。实验结果与之前的一致:在仅仅一个月药物处理后,FIRE小鼠脑中就表现出髓鞘过量形成的现象。
接着,研究者探究这一现象是否也出现在人类中。研究人员从柏林夏里特医学院维尔纳? · ?斯坦泽(Werner Stenzel)那里获得了一种罕见的人类神经退行性疾病——成人起病的脑白质病伴轴索球样变和色素胶质细胞(ALSP)——珍贵脑组织样本,发现ALSP患者CSF1R基因的杂合突变会导致小胶质细胞数量大约减少一半,尤其是脑白质中富含髓鞘的区域。ALSP患者临床上会表现出早发性痴呆,通常在40或50岁左右去世。ALSP患者的脑样本中也出现了FIRE小鼠脑中过度生长的髓鞘。
这一现象说明小胶质细胞不仅能够在脑发育阶段控制髓鞘形成,也能够在成年后继续调节髓鞘的生长。不仅如此,当小胶质细胞缺失或数量减少后出现的髓鞘过度生长的现象,与出现认知功能下降的老年非人灵长类脑中观察到的髓鞘结构改变非常相似。这表明健康小胶质细胞缺失后,髓鞘会过早衰老并影响认知功能。
研究人员接着通过巴恩斯迷宫测试评估FIRE小鼠的认知功能。在这个测试中,小鼠需要经过数次试验学习在迷宫中找到逃脱洞的位置。数天后,研究人员会重新设置逃脱室的位置,小鼠适应新位置的能力能够反映它们的认知灵活性。FIRE小鼠表现出认知灵活性下降,这是随着年龄增长最先下降的认知功能之一。先前也有研究证明这一功能随年龄的下降程度能够预测阿尔茨海默病的发展。
小胶质细胞防止髓鞘退化
由于衰老会导致髓鞘结构改变,而阿尔茨海默病中髓鞘出现退行性改变,研究者希望进一步探究小胶质细胞缺失情况下髓鞘结构的变化是否会导致髓鞘更容易出现退行性改变。研究者在ALSP患者的样本中发现髓鞘存在与年龄相关的差异。一位因其他原因死亡的年轻患者脑中存在丰富且过度生长的髓鞘。但在年龄较大的患者中大部分髓鞘都表现出退行性改变,而存活的髓鞘则表现出过度生长的状态。
于是研究者进一步探究小胶质细胞在髓鞘维持方面的作用。在FIRE小鼠6个月龄时,研究者发现髓鞘出现明显的退行性改变。而当小胶质细胞缺失后,髓鞘却很快从过度生长转变为损害的表现。这一现象很奇怪,从机制上来讲很难解释。
为了进一步研究FIRE小鼠中出现的髓鞘损害是否与长期缺失小胶质细胞相关,研究者在5个月龄的野生型小鼠中使用1个月药物以损耗小胶质细胞和巨噬细胞。研究人员观察到髓鞘出现了相似的退行性改变,这提示小胶质细胞的功能在维持髓鞘健康过程中随着脑的年龄增加愈发重要。
过劳的小胶质细胞
人会因为过量的工作负担和长时间的应激而精疲力竭。小胶质细胞也会有类似的反应,其机制对痴呆的治疗而言可能至关重要。大量复杂的单细胞转录组测序研究数据表明衰老以及疾病(阿尔茨海默病)状态下,脑中会出现疾病相关的小胶质细胞群体。这可能是因为随着脑的年龄增长,需求不断增加,而产生了这一小胶质细胞群体。小胶质细胞在面对过多的任务时,会失去年轻时维持髓鞘的能力。
如果将小胶质细胞恢复到年轻时的状态,或许可以预防衰老脑中髓鞘的退行性改变,并阻止神经退行性疾病的潜在发展。通过阻止这一进程,或许我们能够让所爱之人在暮年时依旧保持自己的记忆。
资料来源 The Scientist
————————
本文作者尼亚美?·麦克纳马拉(Niamh McNamara)最近在爱丁堡大学获得了博士学位,研究方向是小胶质细胞调控髓鞘稳定性。她目前在荷兰阿姆斯特丹神经科学研究所继续博士后研究。维罗妮卡·米龙(Veronique Miron)是一位神经免疫学教授,领导多伦多大学和爱丁堡大学的实验室开展研究,研究方向是生命过程中髓鞘健康和病理学的调控



